Новости
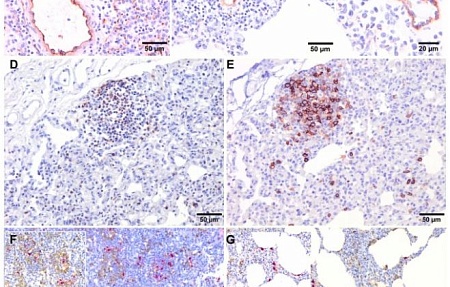
Делеции в генах гибридных генотипов I и II вируса АЧС, локализованные в участке D250R, индуцируют выраженный иммунный ответ и обеспечивают защитный эффект как против родительских штаммов, так и против изолятов генотипа II
В рамках исследования сконструированы два делеционных штамма вируса АЧС путем нокаута гена D250R в вирулентных полевых изолятах: SY18ΔD250R (генотип II) и JX23-02ΔD250R (рекомбинантный генотип I/II). Проведенное исследование подтверждает, что д...
Геномный анализ и характеристика патогенных свойств нового штамма вируса РРСС-1 HBEU-328, выявленного в Северном Китае
В рамках исследования вспышки заболевания на свиноводческой ферме в провинции Хэбэй, Китай, (2022 год), выделен и охарактеризован штамм вируса РРСС-1, обозначенный как HBEU-328. Полученные результаты расширяют современные знания о распространении и ген...
Информирование о рисках, связанных с биобезопасностью в связи с гриппом птиц: социальные исследования, сегментация аудитории и коммуникационная стратегия для кампании по повышению осведомленности в ЕС
EFSA по запросу Европейской комиссии представило комплексный научный отчет, направленный на разработку усиленного, научно обоснованного подхода к повышению осведомленности о биобезопасности при гриппе птиц в Европейском союзе. Документ, интегрирующий результат...
Быстрая оценка риска: вирус ящура серотипа SAT1
4 марта 2026 года ФАО опубликовала обновленную версию быстрой оценки риска распространения вируса ящура серотипа SAT1. Документ подготовлен по итогам анализа эпизоотической ситуации за период со 2 по 23 февраля 2026 года и представляет собой вторую редакцию оц...
Инактивация вируса гриппа птиц в кефире из сырого молока
В исследовании впервые оценена инактивация вирусов гриппа птиц в процессе ферментации сырого молока при производстве кефира. Несмотря на выраженный вирулицидный эффект ферментации, употребление кефира из сырого молока, контаминированного вирусами гриппа птиц, ...
Исследование случаев проникновения вируса высокопатогенного гриппа птиц H5N1 на удаленные острова: выявление присутствия H5N1 на острове Gough в южной части Атлантического океана
В исследовании представлены данные о первом обнаружении вируса высокопатогенного гриппа птиц H5N1 клады 2.3.4.4b у тристанских поморников на острове Gough (южная Атлантика). Результаты подчеркивают роль некрофаговых морских птиц как векторов дальнего п...
Продолжительность иммунитета после заражения умеренно вирулентным вирусом АЧС
В исследовании проведена оценка продолжительности и напряженности протективного иммунитета у свиней, которые перенесли инфекцию, вызванную умеренно вирулентным штаммом вируса АЧС, а также анализ роли системы комплемента в формировании постинфекционной защиты.
Объединенные образцы биологического материала от животных для мониторинга вирусов, поражающих животных, а также потенциально зоонозных патогенов
В представленном исследовании оценена диагностическая ценность агрегированных проб окружающей среды (навозная жижа, пробы воздуха, сточные воды) для мониторинга вирусных патогенов свиней и крупного рогатого скота, который рассматривается как перспектив...
Патобиологическая характеристика и оценка базового коэффициента репродукции рекомбинантного штамма вируса АЧС у свиней, находившихся в контакте с инфицированными животными, во Вьетнаме
В исследовании проведена комплексная оценка клинико-патологических проявлений и трансмиссивных характеристик рекомбинантного штамма вируса АЧС rASFV I/II, циркулирующего на территории Вьетнама. В условиях экспериментального прямого и контактного заражения установлена...
В исследовании проведена комплексная оценка клинико-патологических проявлений и трансмиссивных характеристик рекомбинантного штамма вируса АЧС rASFV I/II, циркулирующего на территории Вьетнама. В условиях экспериментального прямого и контактного заражения установлена...
Пероральная иммунизация евразийского дикого кабана (Sus scrofa) против АЧС вакциной «ASFV-G-ΔI177L»: эффективность приманки, иммуногенность и мониторинг окружающей среды
В рамках исследования проведена оценка возможности пероральной вакцинации диких свиней против АЧС с использованием кандидатной живой аттенуированной вакцины ASFV-G-ΔI177L. Протестированы различные типы приманок и контейнеров на четырёх видах отряда Suiformes, ...