Изменения в составе слюны и сыворотки крови домашних свиней и диких кабанов, экспериментально инфицированных вирусом африканской чумы свиней

Африканская чума свиней (АЧС) приобрела глобальный масштаб распространения, представляя значительную угрозу для домашних и диких популяций свиней на всех континентах. У животных, инфицированных вирусом за пределами Африканского континента, заболевание сопровождается клиническими признаками, характерными для вирусной геморрагической лихорадки. Патогенез данного заболевания до настоящего времени остается недостаточно изученным.

Для восполнения существующих пробелов в научных знаниях необходимо проведение различных исследований, в том числе изучение биомаркеров, присутствующих в различных биологических жидкостях, которые отражают физиологические и патологические процессы. Результаты этих исследований предоставят важную информацию, способствующую более глубокому пониманию патогенеза АЧС. Анализ биомаркеров в биологических жидкостях, таких как слюна, позволяет осуществлять раннюю диагностику патологических состояний и заболеваний, а также мониторинг их прогрессирования и оценку эффективности терапевтических вмешательств. В настоящее время существует широкий спектр биомаркеров, доказавших свою эффективность в диагностике и мониторинге заболеваний у свиней.

Традиционно биомаркеры измерялись преимущественно в производных крови, таких как сыворотка или плазма. В последние годы наблюдается растущий интерес к изучению биомаркеров с использованием минимально инвазивных или неинвазивных биологических образцов. Среди таких образцов слюна демонстрирует значительные преимущества, включая простоту, удобство, хорошую переносимость и отсутствие болевых ощущений, что выгодно отличает данный метод от забора крови у свиней, который может вызывать сильный стресс как у животных, так и у персонала. Это способствует быстрому и эффективному выявлению и контролю заболеваний, минимизируя вред для животных.

Слюна, как неинвазивная биологическая матрица, доказала свою эффективность в качестве диагностического материала для оценки состояния здоровья животных. Анализируемые в слюне вещества предоставляют информацию о различных патофизиологических процессах, таких как стресс, иммунные реакции, воспаление, сепсис, окислительно-восстановительный статус и повреждение тканей.

Целью настоящего исследования являлась оценка потенциальных изменений в биологических жидкостях домашних свиней и диких кабанов в постинфекционный период после заражения вирусом АЧС. Это исследование направлено на расширение современных знаний о патогенезе и патофизиологии заболевания, вызванного данным вирусом. В рамках поставленной цели была применена панель биомаркеров, предварительно валидированная для использования у свиней.

В частности, были проанализированы белки острой фазы, такие как гаптоглобин (Hp) и ITIH4, а также общие белки, которые использовались для оценки воспалительных процессов. Кальпротектины S100A8/A9 и S100A12 предоставили информацию о состоянии иммунной системы. Аденозиндезаминаза (АДА) также была включена в перечень маркеров, отражающих активность лимфоцитов. Для оценки уровня стресса и благополучия животных были измерены кортизол, α-амилаза и окситоцин. Окислительный стресс оценивался с использованием анализа FRAP (Ferric Reducing Antioxidant Power assay), а повреждение тканей — по уровню лактатдегидрогеназы (LDH) и креатинкиназы (CK).

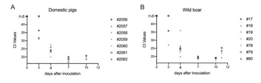
В рамках данного исследования в слюне было измерено 11 биомаркеров, а в сыворотке — 10. Для проведения сравнительного анализа также были исследованы биохимические параметры сыворотки крови, результаты количественной ПЦР и клинические характеристики, включая клиническую оценку и измерение ректальной температуры тела. Это позволило получить комплексное представление о состоянии здоровья животных на различных этапах после инфицирования вирусом АЧС.

Результаты показали, что у домашних свиней анализ слюны позволил эффективно определить наличие воспалительных процессов, активацию клеточного иммунитета и степень повреждения тканей. В то же время у диких кабанов сыворотка крови проявила более высокую чувствительность к выявлению изменений в биомаркерах.

Были установлены корреляции между клиническими показателями, значениями RBT и Ct и некоторыми из анализируемых биомаркеров. Это подтверждает их потенциальную ценность в качестве индикаторов состояния здоровья у обоих видов животных.

Исследование также подтвердило значимость использования биомаркеров для изучения и управления здоровьем животных, особенно в контексте сложных заболеваний и разработки новых исследовательских моделей.

Для определения возможности использования этих биомаркеров в качестве диагностических инструментов для выявления АЧС необходимо проведение дополнительных исследований.

ссылка на публикацию