Инфекция, вызванная вирусом высокопатогенного гриппа птиц H5N1 у кошек: прошлое и настоящее

С 2020 года высокопатогенный грипп птиц (ВПГП) подтипа H5N1, относящийся к кладе 2.3.4.4b, приобрел статус панзоотии, нанеся значительный ущерб популяциям диких и домашних птиц по всему миру. Характерной особенностью данного вируса стала его выраженная способность к преодолению межвидового барьера, что подтверждается ростом числа случаев инфицирования различных видов млекопитающих, включая морских и наземных, в частности, представителей семейства кошачьих.

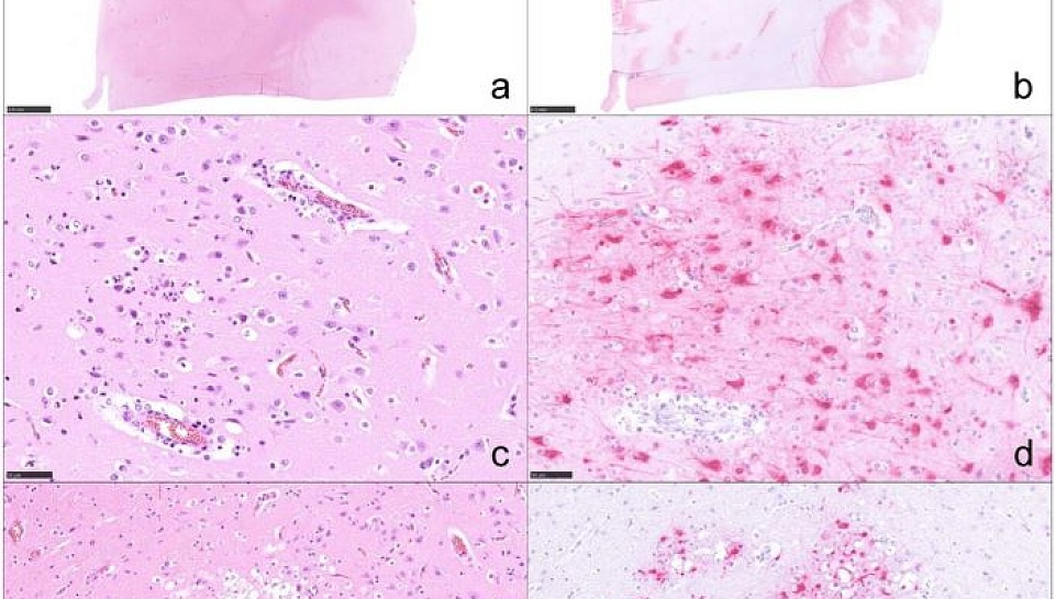
В данном обзоре представлен всесторонний анализ инфекции H5N1 у кошек. Особое внимание уделено эпидемиологии, патогенезу, клиническим и патоморфологическим проявлениям, современным подходам к диагностике, терапии и профилактике, а также разработке рекомендаций по минимизации риска заражения и защите здоровья населения. Подчеркивается, что, в отличие от спорадических случаев заражения кошек в прошлом, связанных с поеданием инфицированных птиц, текущая панзоотия привела к их масштабному инфицированию.

Ключевым фактором риска является тесный контакт кошек с человеком, что обуславливает потенциальную роль данного вида как промежуточного хозяина в цепи зоонозной передачи. Несмотря на то, что вспышки среди молочного скота в США и последовавшее заражение кошек новыми генотипами вируса (B3.13, D1.1) пока не были зарегистрированы за пределами Северной Америки, а общий риск передачи от кошки к человеку оценивается как низкий, сохраняется необходимость в постоянном эпидемиологическом надзоре. Мониторинг циркулирующих штаммов, изучение их эволюции и оценка патогенного потенциала остаются первостепенными задачами в контексте глобальной биобезопасности и предотвращения пандемий.

ссылка на публикацию