Новости

Мониторинг энтерококков, устойчивых к антибиотикам, включая виды Enterococcus faecalis и E. faecium, на всех этапах производственного процесса: анализ рисков, связанных с образованием биопленок и резистентностью изолятов к антибактериальным препаратам
Целью исследования была всесторонняя характеристика распространенности, профилей антибиотикорезистентности, способности к образованию биопленок, спектра генов вирулентности и уровней ассоциированного риска изолятов Enterococcus faecalis и Enterococcus faecium,...
Факторы риска заражения сибирской язвой на глобальном уровне: анализ и количественная оценка поведенческих аспектов, связанных со вспышками заболевания, в социально-демографическом и культурном контексте
Метаанализ исследований подтвердил, что прямой контакт с инфицированными животными (разделка, снятие шкур, забой, обработка сырого мяса) является доминирующим путём передачи сибирской язвы в эндемичных регионах. В рамках концепции «Единое здоровье» обо...
Универсальный метод выявления патогенов для обнаружения и диагностики новых угроз
Эпидемические события последних лет актуализируют необходимость создания интегрированных систем ранней детекции и оперативного вмешательства на этапе, предшествующем трансмиссии патогена в человеческой популяции. В обзоре проведена систематическая оценка современных...
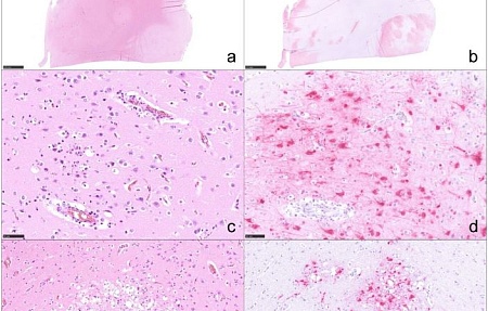
Патогенность вируса репродуктивно-респираторного синдрома свиней для репродуктивной системы самок: патологическое поражение рогов матки и задержка развития
В ходе исследования, проведенного на модели экспериментального инфицирования неполовозрелых самок-поросят, впервые были систематически охарактеризованы патоморфологические и молекулярные изменения репродуктивной системы, вызванные вирусом РРСС.
Комбинированная иммунизация с использованием мРНК, кодирующей антигены вируса РРСС, усиливает иммунный ответ организма и обеспечивает формирование защитного иммунитета против высокопатогенного штамма вируса РРСС у поросят
В исследовании продемонстрирована эффективность мРНК-платформы для разработки вакцин против вируса РРСС. Показано, что комбинированная иммунизация мРНК, кодирующими индивидуальные структурные белки (GP5+M+N), индуцирует гуморальный ответ, сопос...
Цифровой иммуноферментный анализ с открытой поверхностью, основанный на магнитной ловушке и алгоритмах глубокого обучения, для быстрого и высокочувствительного выявления вируса африканской чумы свиней
АЧС — серьёзная проблема для ветеринарии. Ключевой аспект борьбы — ранняя диагностика, осложнённая низкой вирусной нагрузкой на начальной стадии. В исследовании представлена платформа OS-dELISA для цифрового иммуноферментного анализа. Она объединяет магнитные ...
Исследование функционального микробиома в контексте респираторного синдрома свиней: вирусно-бактериальные коинфекции и профилирование факторов вирулентности
Метагеномный анализ биологического материала, полученного из нижних дыхательных путей свиней, выявил доминирующие патогены: вирусы РРСС и гриппа свиней, а также бактерии Mycoplasma hyopneumoniae, Haemophilus parasuis и Pasteurella multocida. Идентификация спец...
Серологическое исследование на туберкулез у диких кабанов в Синьцзяне, северо-западный Китай: пилотное исследование
В результате серологического скрининга популяции диких кабанов в Синьцзяне установлена значительная распространенность туберкулезной инфекции (10,0%). Выявлена повышенная доля инфицирования у животных фермерского содержания (12,0%) по с...
Мутации вирусных белков, способствующие адаптации вирусов гриппа А к млекопитающим: стратегии снижения зоонозных рисков и перспективы на будущее
Как вирусы гриппа птиц преодолевают видовые барьеры? Научный обзор раскрывает ключевые мутации в белках вируса, которые позволяют ему инфицировать млекопитающих и создавать угрозу пандемии. На основе этих данных предложены пути для упреждающего контроля: вакци...
Молекулярная диагностика в клинической микробиологии: достижения, применение и перспективы развития

Обзор посвящён современным достижениям в молекулярной диагностике инфекционных заболеваний. Рассматривается эволюция технологий — от количественной ПЦР и MALDI-TOF MS до секвенирования нового поколения (NGS) и CRISPR-анализов, — определивших переход к...